Fallstudie
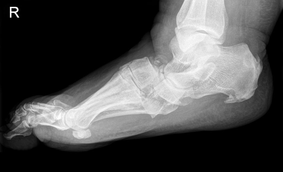
Fallbeispiel Charcotfuß
A.L., w., 58 Jahre, Vorerkrankungen: Diabetes mellitus, periphere Polyneuropathie und Adipositas per magna litt unter einer diabetischen Osteoarthropathie (Charcotfuß) mit kompletter Luxation der Fußwurzel. Aufgrund Rollstuhlpflicht und immobilisierender Schmerzen Indikation zur kompletten Fußwurzelkorrekturarthrodese mit Mittelfußbolzen. 6 Monaten postoperativ schmerzfrei im orthopädischen Schuh ohne Gehstützen mobil.


